Diagnóstico Patológico Veterinario de Precisión y Confianza
Entregamos diagnósticos ágiles sin comprometer la calidad, adaptándonos a la urgencia de cada caso.
Precisión que Genera Confianza
Atención Cercana y Personalizada
Resultados Rápidos y Confiables

8+
Años de experiencia
Diagnósticos de Alta Precisión
En Centro de Diagnóstico Bichat, nos especializamos en el diagnóstico patológico veterinario con un enfoque personalizado y de alta calidad. Con 8 años de experiencia, ofrecemos servicios especializados para aquellos profesionales que valoran la precisión y el contacto directo con el patólogo. A través de nuestra atención cercana y tiempos de respuesta ágiles, construimos relaciones de confianza y aseguramos resultados confiables.
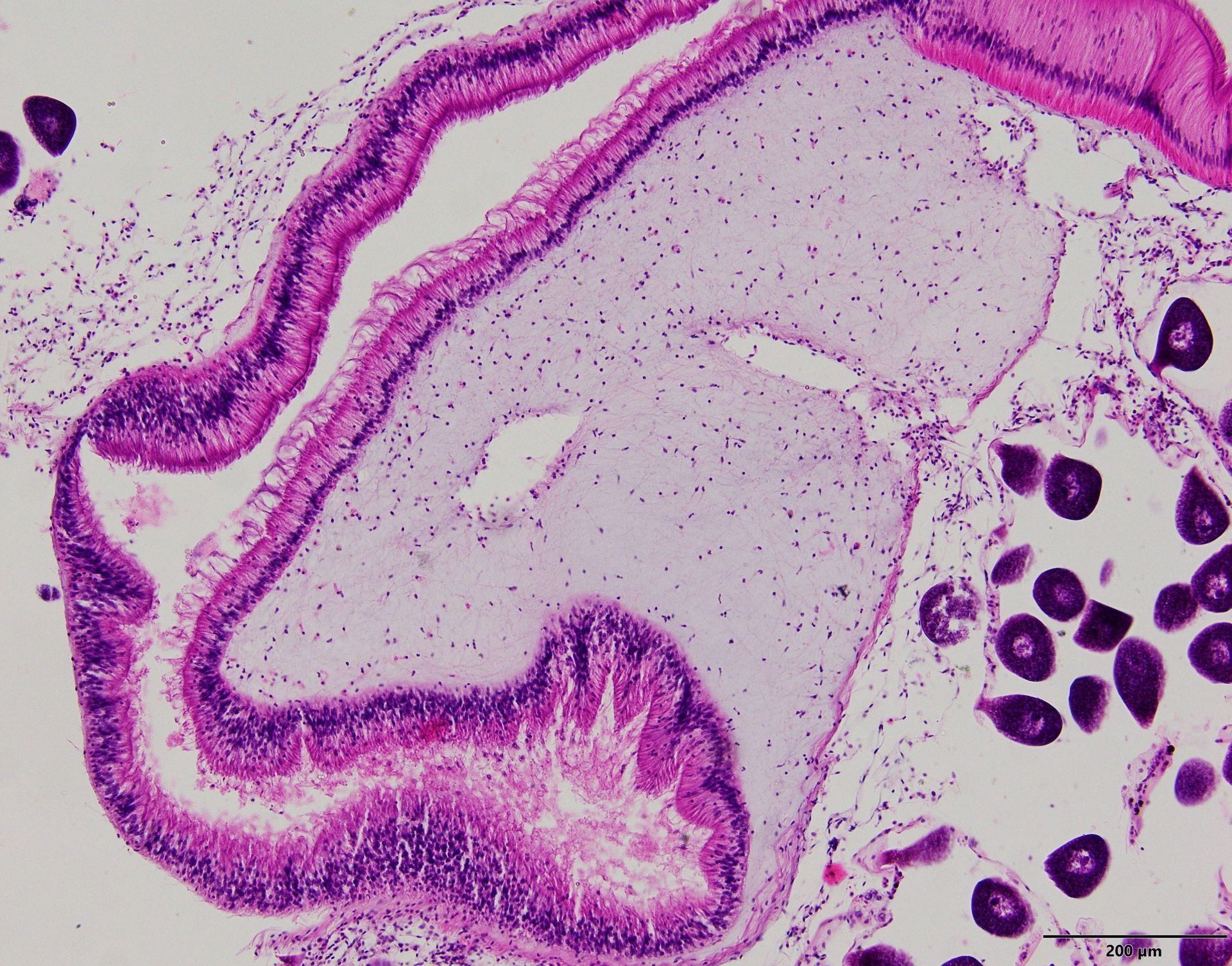
Diagnóstico Patológico Veterinario General
En Centro de Diagnóstico Bichat realizamos estudios histopatológicos y citológicos que permiten identificar con precisión enfermedades en tejidos y órganos de pequeños y grandes animales. Nuestros servicios incluyen:
Biopsias: análisis detallado de tejidos para confirmar, orientar o descartar diagnósticos.
Citologías: estudios rápidos y menos invasivos para orientar el tratamiento.
Informes personalizados: cada resultado se acompaña de la interpretación del patólogo, facilitando la toma de decisiones clínicas.
Con un enfoque cercano, ofrecemos tiempos de entrega confiables y comunicación directa con el especialista.
Servicios Especializados y de Alta Complejidad
Además de los diagnósticos rutinarios, brindamos apoyo en casos que requieren un nivel más profundo de análisis:
Inmunohistoquímica: identificación de marcadores específicos para clasificar tumores y enfermedades complejas.
Segundas opiniones: revisión experta de diagnósticos previos para confirmar hallazgos.
Asesoría personalizada: acompañamiento al médico veterinario en la interpretación de resultados y orientacion terapéutica.
Nuestro compromiso es combinar precisión científica con un servicio humano y accesible, fortaleciendo la confianza entre patólogo y clínico.
-
Nuestra Filosofía
Nuestros ServiciosNinguna consulta es demasiado pequeña cuando se trata de la salud animal.
En Centro de Diagnóstico Bichat estamos listos para apoyarte con diagnósticos precisos, tiempos de entrega ágiles y asesoría personalizada.
¿Cómo podemos ayudarle?
SERVICIOS
PCR (Próximamente)
Próximamente ofreceremos análisis PCR para diagnósticos moleculares avanzados.
La Precisión en el Diagnóstico Veterinario Marca la Diferencia
Por Qué Elegirnos
Elegir a Centro de Diagnóstico Bichat significa optar por un laboratorio comprometido con la excelencia y la precisión.
Lo que dicen nuestros clientes...
Testimonios
Reseñas de Especilistas
Profesionales, atentos y con buena comunicación. Para nosotros ha sido muy útil trabajar con un equipo que entiende la importancia de cada diagnóstico.
Alondra T. Coordinador Médico Veterinario
En nuestra clínica hemos trabajado varios casos con Diagnóstico Bichat y siempre hemos recibido resultados claros, rápidos y de gran utilidad para tomar decisiones médicas.
Oliver K. MVZ
Excelente experiencia trabajando con ellos. Entienden muy bien las necesidades de una clínica veterinaria y eso se nota en su servicio.
Sara J. Médico Veterinario
Profesionales, atentos y con buena comunicación. Para nosotros ha sido muy útil trabajar con un equipo que entiende la importancia de cada diagnóstico.
Alondra T. Coordinador Médico Veterinario
En nuestra clínica hemos trabajado varios casos con Diagnóstico Bichat y siempre hemos recibido resultados claros, rápidos y de gran utilidad para tomar decisiones médicas.
Oliver K. MVZ
reseñas de clínicas
Centro de Diagnóstico Bichat se ha convertido en un aliado confiable para nuestro equipo médico. Destacamos la calidad de sus estudios, la claridad de sus informes y su compromiso con cada caso.
Centro de Salud Veterinario
En nuestra clínica hemos trabajado con Centro de Diagnóstico Bichat en distintos casos y siempre hemos recibido resultados claros, confiables y en buenos tiempos. Su apoyo diagnóstico nos ha ayudado a tomar decisiones médicas con mayor certeza.
Clínica Veterinaria
Valoramos mucho el profesionalismo y la atención del equipo de Centro de Diagnóstico Bichat. Los reportes son útiles, bien explicados y nos brindan un respaldo importante en el seguimiento de nuestros pacientes.
Centro de Salud Veterinario
Centro de Diagnóstico Bichat se ha convertido en un aliado confiable para nuestro equipo médico. Destacamos la calidad de sus estudios, la claridad de sus informes y su compromiso con cada caso.
Centro de Salud Veterinario
En nuestra clínica hemos trabajado con Centro de Diagnóstico Bichat en distintos casos y siempre hemos recibido resultados claros, confiables y en buenos tiempos. Su apoyo diagnóstico nos ha ayudado a tomar decisiones médicas con mayor certeza.
Clínica Veterinaria






